Straightening Smiles and Supporting Healthy Development
If you’ve noticed that your child’s permanent teeth are coming in crooked or crowded, you might be wondering if now is the right time to seek orthodontic advice. At Gisborne Family Dental, our experienced team offers early orthodontic treatment to help guide your child’s dental development and avoid bigger problems down the track.
We provide customised orthodontic care for children of all ages, including orthopaedic plates and braces, so your child can enjoy a healthy, confident smile as they grow.
Why Early Orthodontic Treatment Matters
Crooked teeth and jaw underdevelopment often begin early. Some common causes include:
- Genetic predisposition
- Early childhood health issues
- Poor oral habits like mouth breathing or thumb sucking
- Limited space in the jaw for new teeth
In many cases, mild crowding or crooked teeth might not cause immediate problems. However, if left untreated, these issues can progress and lead to:
- Misalignment of the upper and lower jaws
- Jaw pain or discomfort
- Difficulty chewing or speaking
- Uneven wear and tear of teeth
Early orthodontic screening can make a big difference. We recommend parents bring their child for an orthodontic consultation once adult teeth start to come through, usually around 7 to 9 years of age. Early assessment allows us to monitor your child’s growth and recommend the right treatment at the right time.
Our Approach to Children’s Orthodontics
At Gisborne Family Dental, we believe in a proactive, gentle approach to orthodontic care. We focus on:
- Identifying signs of jaw underdevelopment or crowding early
- Using non-invasive treatments like plates when growth potential can still be guided
- Minimising the need for removing healthy adult teeth
- Supporting your child’s overall health, not just straight teeth
We understand that many parents may have had braces or teeth removed as teenagers and want a better, less invasive outcome for their children. Our team aims to provide that by starting early and working with your child’s natural development.
Orthodontic Treatment Options for Children
We offer a range of treatment options tailored to your child’s needs:
Orthopaedic Plates
Plates are removable devices designed to gently guide and promote jaw growth while your child is still growing. They can help:
- Create more space for incoming adult teeth
- Correct bite issues like crossbites
- Encourage normal jaw development
Plates are most effective when used early, while your child’s jaw is still developing.
Braces
Braces are fixed orthodontic appliances used to align and straighten teeth. We may recommend braces if:
- There is significant crowding
- Bite issues require correction
- Further alignment is needed after early treatment
Our team will assess your child’s specific needs and advise the best option.
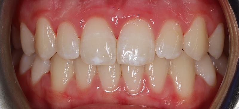
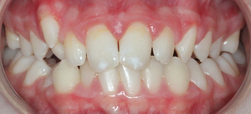
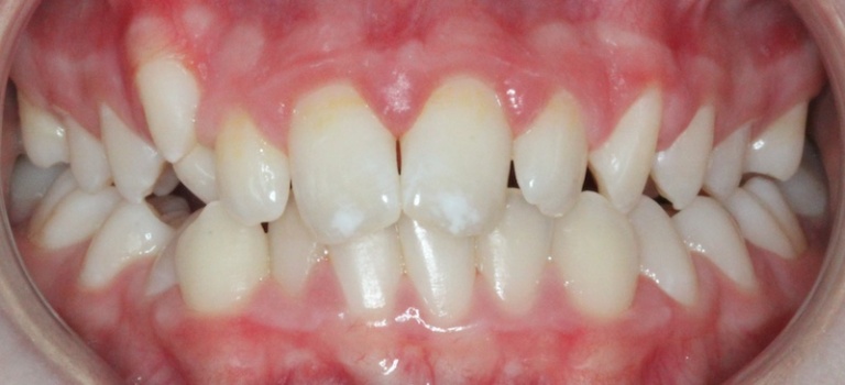
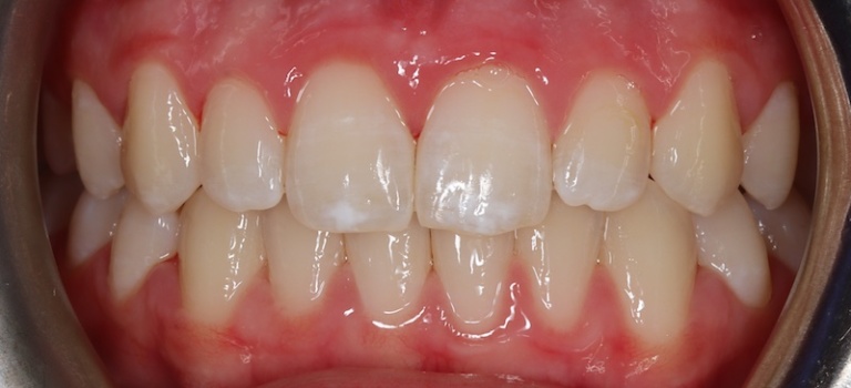
Dental braces: before and after
The transformation possible with braces is truly life-changing. Many patients come to us feeling unhappy with crowded, misaligned, or uneven teeth. After completing their orthodontic journey, their smiles not only look beautifully aligned but also function more comfortably and effectively.
When you visit the clinic, you’ll discover how braces can correct bite issues, close gaps, and straighten teeth for a balanced, confident smile. Our patients often share how achieving their ideal alignment has enhanced both their appearance and self-esteem—making them smile with confidence every day.
More Than Just Straight Teeth
Orthodontic treatment isn’t only about appearance. It also plays a role in your child’s overall health and wellbeing.
One of the common underlying causes of jaw underdevelopment is mouth breathing. This can result from nasal obstruction, allergies or sleep-related issues. When children breathe through their mouth instead of their nose, it can affect jaw growth and lead to crooked teeth.
By addressing these concerns early with plates or braces, we can help:
- Encourage normal jaw development
- Reduce the risk of sleep and airway issues
- Improve facial balance and long-term dental health
Our team takes a holistic approach. When needed, we may suggest working with other healthcare professionals such as your GP, an ENT specialist or a sleep physician to ensure your child’s overall health is supported alongside their orthodontic care.
Your Trusted Orthodontic Team in Gisborne
Orthodontic treatment isn’t only about appearance. It also plays a role in your child’s overall health and wellbeing.
One of the common underlying causes of jaw underdevelopment is mouth breathing. This can result from nasal obstruction, allergies or sleep-related issues. When children breathe through their mouth instead of their nose, it can affect jaw growth and lead to crooked teeth.
By addressing these concerns early with plates or braces, we can help:
- Encourage normal jaw development
- Reduce the risk of sleep and airway issues
- Improve facial balance and long-term dental health
Our team takes a holistic approach. When needed, we may suggest working with other healthcare professionals such as your GP, an ENT specialist or a sleep physician to ensure your child’s overall health is supported alongside their orthodontic care.





























We can help you achieve the smile you want.
FAQs
We recommend an initial orthodontic assessment around 7 to 9 years of age, or earlier if you notice crooked teeth or bite issues. You can book an orthodontic consultation with our team at Gisborne Family Dental to get started.
This depends on their specific needs. In many cases, early treatment with plates can prevent the need for complex braces treatment. Our team will assess and advise the best option for your child. Learn more about orthodontic treatment for children on our website.
Some discomfort is normal when your child first gets plates or braces, but it usually settles quickly. We’ll guide your child on how to care for their appliance and what to expect.
Treatment times vary depending on the type and complexity of the issue. Plates may be worn for 6–12 months, while braces treatment typically lasts 12–24 months. You can also read about our full range of children’s dentistry services.
Starting treatment early allows us to guide jaw development and avoid more invasive procedures later, such as tooth extractions or jaw surgery. Early care also helps prevent long-term dental and health issues. If your child has dental anxiety, we offer gentle children’s dental care to help them feel comfortable.