Composite veneers at Gisborne Family Dental
Composite veneers are a fast and effective way to transform your smile. At Gisborne Family Dental, we provide expert cosmetic treatments tailored to your needs, with composite veneers being one of the most accessible options.
Designed to improve both function and aesthetics, they can address discolouration, gaps, and uneven teeth with minimal preparation. Our team in Gisborne is here to help you achieve a confident, natural-looking smile.
What are composite veneers?
Composite veneers are thin layers of tooth-coloured resin carefully bonded to the front of your teeth. Unlike porcelain veneers, which are made in a laboratory, composite veneers are sculpted directly onto the tooth by your dentist in a single appointment.
The material blends seamlessly with your natural teeth, providing a smooth, even appearance. Patients choose composite veneers for their affordability, minimally invasive process, and ability to deliver immediate results.
Go on, chat to us about how you can get that smile you’ve always wanted.
Benefits of composite veneers
Composite veneers offer several advantages for patients in Gisborne:
- Aesthetic improvement – They can correct discolouration, small chips, uneven spacing, or irregularly shaped teeth.
- Durability – With proper care, dental composite veneers last several years and maintain their natural finish.
- Cost-effective – Composite veneers are generally more affordable than porcelain, making them a popular cosmetic option.
- Minimally invasive – Little to no enamel needs to be removed, and the procedure is typically completed in one visit.
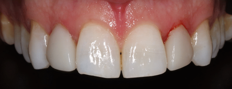
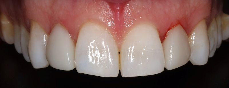
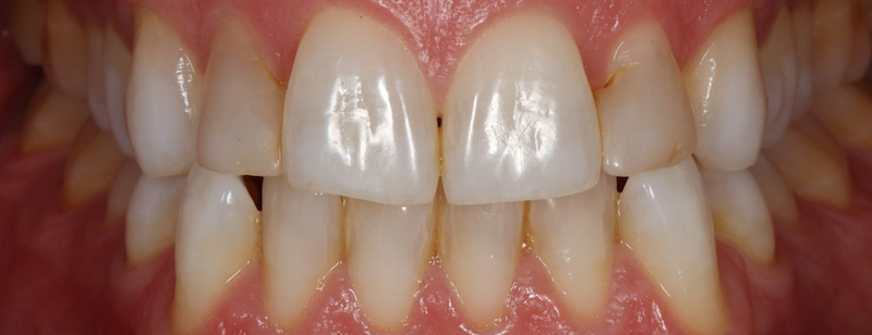
Dental composite veneers: before and after
The transformation possible with composite veneers is significant. Patients often arrive feeling self-conscious about stains, cracks, or gaps between teeth. After treatment, their smiles appear brighter, straighter, and more uniform.
When you arrive in the clinic, you’ll be able to see how they can address concerns such as chipped teeth, worn edges, or discoloured enamel. Our patients frequently tell us how much their new smile has boosted their confidence and quality of life.
Why choose Gisborne Family Dental for composite veneers?
Our dentists combine technical skill with a caring, patient-first approach. With years of experience providing cosmetic dentistry, we create personalised treatment plans that consider your goals, budget, and lifestyle.
Every procedure is completed in our modern Gisborne clinic, using high-quality materials and up-to-date techniques. We take time to explain the process clearly, so you know exactly what to expect. From your first consultation through to aftercare, we’re committed to helping you achieve the best possible results.
Trusted by locals, loved by patients
See what our happy patients are saying on Google Reviews
EXCELLENT Based on 363 reviews Amy Cavanagh05/06/2025Trustindex verifies that the original source of the review is Google. I can't express enough gratitude for the incredible support I've received from Gisborne Family Dental. Not only is the dental care fabulous, but the receptionist (Melissa) is consistently friendly, helpful, and goes above and beyond to assist. They truly bent over backwards to write supporting letters to help me apply for a special consideration for my two large university assignments that fell right when I had to have dental work completed. This level of empathy and dedication Dr Priscilla showed during a stressful period made me so grateful. Highly recommend them for their outstanding care and truly compassionate team! Wesley Fry04/06/2025Trustindex verifies that the original source of the review is Google. Dr. Jacob is amazing. You won't be disappointed. Holly Tomlinson28/05/2025Trustindex verifies that the original source of the review is Google. I cannot recommend this practise enough, especially Dr. Jack. I experienced a lot of anxiety regarding the dentist before being recommend to come here, however Dr. Jack is so thorough, gentle and informative, it always feels like I'm in good hands and now I don't experience that same anxiety before an appointment. Definitely the best dentist I've ever been to! Barbara Matthews19/05/2025Trustindex verifies that the original source of the review is Google. My husband and I have recently moved to Australia from the UK, to join our son and daughter in law. We needed to register with a dentist. My son made an appointment for us at the Gisborne Family Dentist. Dr Bethany carried out our first check ups. She was very friendly and welcoming but also very thorough and explained the treatment she thought would be needed. She used the X ray images to explain her diagnosis and was very clear and thorough in her explanation. She also gave both of us an estimate of cost which we found very helpful . We have now returned for our necessary appointments and again were very comfortable with Dr Bethany's treatment. Everyone at the surgery is very friendly and helpful including the reception staff. We're so pleased to have found Dr Bethany and this practice. Josef Hanna17/04/2025Trustindex verifies that the original source of the review is Google. Best dental place ever!! Everyone is so friendly and warm, best thing is the TV on the roof 😎 dentists are gentle and non judgmental. Highly recommend 😊 Liv&G15/04/2025Trustindex verifies that the original source of the review is Google. Such a great experience normally dread going to the dentist but Priscilla was lovely and made it very enjoyable highly recommend
Composite veneers vs. other veneers
When comparing composite veneers to dental veneers in Gisborne, the main difference lies in material and process.
- Composite veneers are applied directly to the teeth in one visit, cost less, and are easier to repair if damaged.
- Porcelain veneers take longer to produce, require more preparation, and are generally more expensive. However, they typically last longer and resist staining more effectively.
Our team can help you decide which option is right for you, based on your dental health, aesthetic goals, and budget.
Caring for your composite veneers
Looking after composite veneers is straightforward and similar to caring for your natural teeth:
- Brush twice daily and floss regularly.
- Attend regular dental check-ups and cleans.
- Avoid excessive pressure on your veneers, such as nail-biting or chewing ice.
- Minimise staining habits like smoking or drinking large amounts of coffee and red wine.
With the right care, composite veneers can remain strong and attractive for many years.
FAQs
They are made of a tooth-coloured composite resin that bonds securely to the tooth surface.
Most last between 5 and 7 years with proper care, though they may eventually need polishing or replacement.
They are ideal for patients looking for cosmetic improvements without extensive treatment. Your dentist will confirm suitability after an examination.
Maintain good oral hygiene, attend regular check-ups, and avoid habits that can cause chips or stains.














