Porcelain veneers for teeth at Gisborne Family Dental
Porcelain veneers are one of the most popular cosmetic dentistry treatments for achieving a flawless smile. At Gisborne Family Dental, we offer customised porcelain veneers to correct tooth discolouration, gaps, and uneven shapes, giving you a natural and long-lasting result. If you’ve been considering a smile makeover in Gisborne, porcelain veneers may be the right solution for you.
Introduction to porcelain veneers
Porcelain veneers are thin, custom-made shells designed to cover the front of your teeth. They are crafted from durable porcelain, which closely mimics the translucency and shine of natural enamel. Patients choose them to correct chips, cracks, discolouration, and minor misalignment.
As one of the most effective options in cosmetic dentistry, porcelain veneers are well known for their ability to enhance smiles while maintaining a natural appearance. They have become increasingly popular because of their reliability, aesthetic benefits, and long-term durability.
Understanding the process
The process of getting porcelain veneers begins with a consultation, where your dentist will assess your smile and discuss your goals. Preparation involves reshaping a very small amount of enamel to ensure the veneers fit securely. An impression is taken, and your veneers are custom-made in a dental laboratory.
When it comes time to fit them, a specialised veneer tooth adhesive is used to bond each veneer permanently to your teeth. This ensures strength, precision, and a seamless finish. Throughout the process, our dentists provide clear guidance so you feel confident and informed about your treatment.
Trusted by locals, loved by patients
See what our happy patients are saying on Google Reviews
EXCELLENT Based on 363 reviews Amy Cavanagh05/06/2025Trustindex verifies that the original source of the review is Google. I can't express enough gratitude for the incredible support I've received from Gisborne Family Dental. Not only is the dental care fabulous, but the receptionist (Melissa) is consistently friendly, helpful, and goes above and beyond to assist. They truly bent over backwards to write supporting letters to help me apply for a special consideration for my two large university assignments that fell right when I had to have dental work completed. This level of empathy and dedication Dr Priscilla showed during a stressful period made me so grateful. Highly recommend them for their outstanding care and truly compassionate team! Wesley Fry04/06/2025Trustindex verifies that the original source of the review is Google. Dr. Jacob is amazing. You won't be disappointed. Holly Tomlinson28/05/2025Trustindex verifies that the original source of the review is Google. I cannot recommend this practise enough, especially Dr. Jack. I experienced a lot of anxiety regarding the dentist before being recommend to come here, however Dr. Jack is so thorough, gentle and informative, it always feels like I'm in good hands and now I don't experience that same anxiety before an appointment. Definitely the best dentist I've ever been to! Barbara Matthews19/05/2025Trustindex verifies that the original source of the review is Google. My husband and I have recently moved to Australia from the UK, to join our son and daughter in law. We needed to register with a dentist. My son made an appointment for us at the Gisborne Family Dentist. Dr Bethany carried out our first check ups. She was very friendly and welcoming but also very thorough and explained the treatment she thought would be needed. She used the X ray images to explain her diagnosis and was very clear and thorough in her explanation. She also gave both of us an estimate of cost which we found very helpful . We have now returned for our necessary appointments and again were very comfortable with Dr Bethany's treatment. Everyone at the surgery is very friendly and helpful including the reception staff. We're so pleased to have found Dr Bethany and this practice. Josef Hanna17/04/2025Trustindex verifies that the original source of the review is Google. Best dental place ever!! Everyone is so friendly and warm, best thing is the TV on the roof 😎 dentists are gentle and non judgmental. Highly recommend 😊 Liv&G15/04/2025Trustindex verifies that the original source of the review is Google. Such a great experience normally dread going to the dentist but Priscilla was lovely and made it very enjoyable highly recommend
Cost considerations
The cost of porcelain veneers varies depending on the number of teeth being treated, the complexity of your case, and the quality of the materials used. On average, patients can expect porcelain veneers to cost more than composite alternatives, but the results typically last longer and resist stains more effectively.
Some patients also compare composite veneers cost or composite veneers price to porcelain veneers. While porcelain has a higher upfront cost, it often proves more cost-effective in the long run due to its longevity.
At Gisborne Family Dental, we understand cost is an important factor. That’s why we offer flexible payment plans to help make your treatment more affordable.
Go on, chat to us about how you can get that smile you’ve always wanted.
Porcelain veneers vs. Composite veneers
When comparing dentistry porcelain veneers with composite options, there are a few key differences:
- Porcelain veneers are stronger, more stain-resistant, and can last 10–15 years with proper care.
- Composite veneers are applied directly in a single visit and cost less initially but may need replacing sooner.
Choosing between porcelain and composite comes down to your goals, budget, and preferences. Our dentists will help you decide which is best for your unique situation.
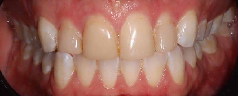
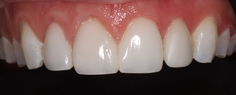
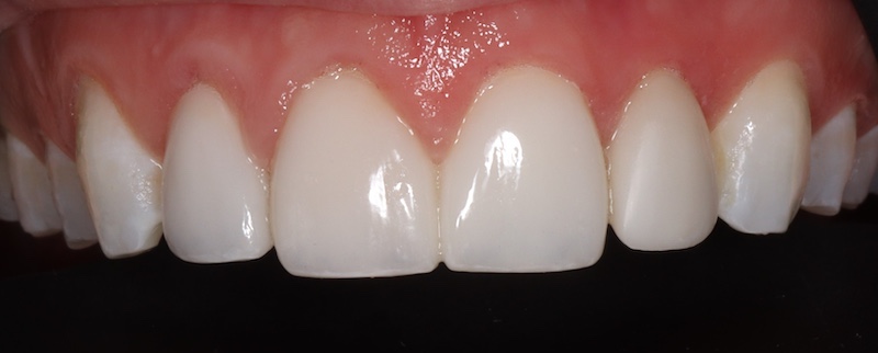
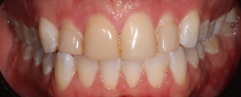
Before and after: real results
The transformation possible with dental porcelain veneers is striking. Before and after photos often show discoloured, worn, or uneven teeth transformed into bright, even smiles.
Patients frequently share how porcelain veneers have not only improved their appearance but also their self-esteem and overall confidence. By correcting common concerns such as gaps, cracks, or misshapen teeth, veneers provide a long-lasting cosmetic solution that feels and looks natural.
Porcelain veneers in Gisborne
At Gisborne Family Dental, we take pride in delivering tailored cosmetic treatments, including porcelain veneers in Gisborne. Our team has years of experience in cosmetic dentistry and uses advanced technology to provide results you can trust.
From your first consultation to your final smile reveal, you’ll receive personalised care in a supportive environment. We also provide detailed aftercare advice to help your veneers last for years to come.
FAQs about porcelain veneers
With good oral hygiene and regular dental check-ups, porcelain veneers can last 10–15 years or longer.
Yes. Porcelain is highly resistant to stains from food and drinks, making it easier to maintain a bright smile.
Most patients resume normal activities immediately. Some may experience mild sensitivity for a few days.
Porcelain veneers are considered a permanent treatment, but they can be replaced if necessary.














